Bài tập thể dục: Động tác gập bụng hình số 4

Shoshana giới thiệu bài tập ‘Figure Four Crunch’, tập trung vào cơ bụng. Bài tập đơn giản này nằm trong loạt video hướng dẫn tập luyện sức khỏe hàng ngày của 6abc.

18185497 112725 wpvi fitness tip video vid

Trong một video ngắn, Shoshana giới thiệu một bài tập thể dục tập trung vào cơ bụng. Bài tập này có tên là “Figure Four Crunch” (tạm dịch: Gập bụng hình số 4), tập trung vào phần trọng tâm của cơ thể. Bạn có thể dễ dàng thực hiện bài tập này ngay trong sinh hoạt hàng ngày.

Video này nằm trong chuỗi các bài tập thể dục mà 6abc giới thiệu. Các bài tập trước đó bao gồm các động tác giúp giữ thăng bằng, kiểm soát và vận động cơ bụng, squat kết hợp tạ, hay bài tập nghiêng lườn.

Theo tin từ 6abc News.


follow nhận tin mới

tin mới

  • Sau bão lốc tàn phá, Quận Harris tung nguồn lực phục hồi

    Sau bão lốc tàn phá, Quận Harris tung nguồn lực phục hồi

    Sau trận lốc xoáy càn quét tây bắc Quận Harris, giới chức địa phương đã triển khai các nguồn lực hỗ trợ người dân bị ảnh hưởng. Hơn 100 ngôi nhà bị hư hại, nhưng may mắn không có thương vong. Các nguồn lực hỗ trợ bao gồm đường dây nóng 311, Hội Chữ thập đỏ, và khảo sát ISTAT.

  • Tòa Bạch Ốc bàn kế hoạch gia hạn trợ cấp Obamacare

    Tòa Bạch Ốc bàn kế hoạch gia hạn trợ cấp Obamacare

    Tòa Bạch Ốc đang xem xét gia hạn trợ cấp Obamacare thêm 2 năm, trong bối cảnh chi phí y tế tăng cao. Đề xuất này vấp phải ý kiến trái chiều, nhưng cho thấy Tổng Thống Donald Trump sẵn sàng tìm giải pháp. Các nhà lập pháp đang thảo luận để đạt thỏa thuận lưỡng đảng.

  • Ý kiến: Tại sao nạn nhân vụ cháy L.A. muốn ông Ricardo Lara từ chức

    Ý kiến: Tại sao nạn nhân vụ cháy L.A. muốn ông Ricardo Lara từ chức

    Theo bài viết trên tờ New York Times, Ủy viên Hội đồng Bảo hiểm California Ricardo Lara bị cáo buộc thỏa thuận bí mật với các công ty bảo hiểm, gây thiệt hại cho người dân. Các nạn nhân vụ cháy L.A. kêu gọi Thống đốc Newsom yêu cầu ông Lara từ chức vì không thực thi luật bảo vệ người tiêu dùng.

  • Thời điểm công chiếu ‘Stranger Things 5’ có chút khác thường, bạn nên ăn tối sớm

    Thời điểm công chiếu ‘Stranger Things 5’ có chút khác thường, bạn nên ăn tối sớm

    Phần cuối của ‘Stranger Things’ sẽ quay lại Hawkins. Phần 5 sẽ được chia làm 3 phần. Netflix sẽ phát hành 4 tập vào ngày 26 tháng 11, 3 tập vào ngày Giáng Sinh và tập cuối vào đêm Giao Thừa. Thời gian phát sóng cũng có chút khác biệt so với các mùa trước đó.

  • Houston: Thời tiết đẹp cho lễ Tạ Ơn và dọn dẹp sau bão

    Houston: Thời tiết đẹp cho lễ Tạ Ơn và dọn dẹp sau bão

    Thời tiết Houston dịp lễ Tạ Ơn dự kiến nắng ấm, tạo điều kiện thuận lợi cho việc dọn dẹp sau bão. Nhiệt độ dao động từ ngưỡng 60s đến 70s. Cuối tuần có thể có mưa giông.

  • Dân Thượng Hải nghi ngại về cuộc điện đàm Trump-Tập

    Dân Thượng Hải nghi ngại về cuộc điện đàm Trump-Tập

    Cư dân Thượng Hải hoài nghi về việc quan hệ Mỹ-Trung có cải thiện sau cuộc điện đàm giữa Tổng Thống Donald Trump và Chủ Tịch Tập Cận Bình. Cuộc điện đàm diễn ra sau cuộc gặp tại Nam Hàn, nơi họ đồng ý về khuôn khổ cho một thỏa thuận thương mại.

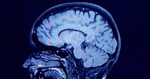
  • Bộ não người có 5 giai đoạn riêng biệt

    Bộ não người có 5 giai đoạn riêng biệt

    Nghiên cứu mới cho thấy bộ não con người trải qua 5 giai đoạn tái cấu trúc riêng biệt trong đời. Các nhà khoa học xác định các bước ngoặt ở độ tuổi 9, 32, 66 và 83. Từ 9 đến 32 tuổi là giai đoạn mạng lưới thần kinh hiệu quả nhất. Sau 83 tuổi, não bộ ngày càng phụ thuộc vào các vùng riêng lẻ. NBC News đưa tin.

  • EU đề xuất tăng cường hợp tác quốc phòng với Ukraine

    EU đề xuất tăng cường hợp tác quốc phòng với Ukraine

    Liên Âu đề xuất tăng cường hợp tác quốc phòng với Ukraine, trong bối cảnh kế hoạch hòa bình của Hoa Kỳ còn nhiều bất ổn. EU dự kiến chi 392 tỷ euro cho quốc phòng năm nay, gần gấp đôi so với năm 2022. Chính quyền Tổng Thống Donald Trump yêu cầu châu Âu tự lo liệu cho Ukraine.

  • Sao NFL khen ngợi tinh thần của Shedeur Sanders

    Sao NFL khen ngợi tinh thần của Shedeur Sanders

    Cựu ngôi sao NFL Trent Green khen ngợi Shedeur Sanders về sự kiên cường và khả năng phục hồi sau màn ra mắt không mấy ấn tượng. Sanders sẽ có trận đấu thứ hai trong sự nghiệp NFL khi Cleveland Browns đối đầu San Francisco 49ers. Green nhấn mạnh áp lực không làm Sanders nao núng, và anh đã giành chiến thắng.

  • Cứu Hỏa ở New Castle: Một phụ nữ nguy kịch

    Cứu Hỏa ở New Castle: Một phụ nữ nguy kịch

    Một phụ nữ 70 tuổi đang trong tình trạng nguy kịch sau khi được lính cứu hỏa giải cứu khỏi đám cháy nhà ở Claymont, Delaware. Vụ hỏa hoạn xảy ra vào tối Thứ Hai, và nguyên nhân đang được điều tra bởi Sở Cứu Hỏa Tiểu Bang Delaware.

  • Ít nữ sinh trung học muốn kết hôn hơn: Vì sao?

    Ít nữ sinh trung học muốn kết hôn hơn: Vì sao?

    Phân tích của Trung Tâm Nghiên Cứu Pew cho thấy nữ sinh trung học ngày càng ít hứng thú với hôn nhân. Chuyên gia cho rằng sự thay đổi trong thông điệp từ Hollywood và phụ huynh, nhấn mạnh sự nghiệp và độc lập, có thể là nguyên nhân. Hôn nhân dần trở thành mục tiêu sau khi đạt thành công cá nhân.

  • Liệu Tổng Thống Trump có đến giới hạn cuối?

    Liệu Tổng Thống Trump có đến giới hạn cuối?

    Trong bài bình luận trên Mercury News, tác giả John M. Crisp đặt câu hỏi liệu có hành động nào của Tổng Thống Donald Trump có thể khiến những người ủng hộ trung thành của ông thay đổi quan điểm hay không, đồng thời bày tỏ sự bi quan về khả năng này.

  • Dân Biểu MTG Không Ủng Hộ Ai Thay Thế Bà

    Dân Biểu MTG Không Ủng Hộ Ai Thay Thế Bà

    Dân biểu Marjorie Taylor Greene tuyên bố sẽ từ chức và không ủng hộ bất cứ ứng cử viên nào thay thế. Tổng Thống Donald Trump chỉ trích bà trên mạng xã hội. Bà Greene bác bỏ tin đồn tranh cử tổng thống, cho rằng công việc này đòi hỏi quá nhiều sự hy sinh và thỏa hiệp mà bà không sẵn lòng.

  • Sao OnlyFans giảng bài ở đại học, giáo sư nói ‘linh nghiệm’

    Sao OnlyFans giảng bài ở đại học, giáo sư nói ‘linh nghiệm’

    Một giáo sư Đại Học Washington mời Ari Kytsya, ngôi sao OnlyFans, đến nói chuyện với sinh viên về ngành công nghiệp tình dục. Quyết định này vấp phải nhiều ý kiến trái chiều nhưng được trường đại học và giáo sư bảo vệ, nhấn mạnh tầm quan trọng của việc thảo luận cởi mở về tình dục trong bối cảnh truyền thông hiện đại.

  • 11-25-1963: Tổng thống John F. Kennedy an nghỉ tại Nghĩa trang Quốc gia Arlington

    11-25-1963: Tổng thống John F. Kennedy an nghỉ tại Nghĩa trang Quốc gia Arlington

    Vào ngày 25 tháng 11 năm 1963, Tổng thống thứ 35 của Hoa Kỳ, John F. Kennedy, đã được an táng với đầy đủ vinh dự quân đội tại Nghĩa trang Quốc gia Arlington, Virginia. Vụ ám sát xảy ra ba ngày trước đó tại Dallas đã gây chấn động nước Mỹ và thế giới. Phó Tổng thống Lyndon Johnson đã tuyên thệ nhậm chức ngay sau đó, trong khi cả nước tổ chức tang lễ trọng thể cho vị Tổng thống quá cố.

  • Đánh giá 32 loại K-Cup ngày lễ: Loại nào ngon nhất?

    Đánh giá 32 loại K-Cup ngày lễ: Loại nào ngon nhất?

    CNET đã trải nghiệm 32 loại K-Cup với hương vị ngày lễ. Kết quả, Green Mountain Pumpkin Spice và The Original Donut Shop Frosted Gingerbread Latte được đánh giá cao nhất. Bài viết chia sẻ các loại cà phê ngon, trung bình và nên tránh, giúp bạn lựa chọn phù hợp cho mùa lễ hội.

  • Chiếc nhẫn cổ có thể liên quan đến âm mưu Gunpowder Plot

    Chiếc nhẫn cổ có thể liên quan đến âm mưu Gunpowder Plot

    Một chiếc nhẫn vàng cổ được tìm thấy ở Anh có thể liên quan đến âm mưu Gunpowder Plot năm 1605. Chiếc nhẫn có khắc dòng chữ “Your Frende in Deede” và dự kiến sẽ được bán đấu giá với giá lên tới 15,800 đô la Mỹ, theo Fox News.

  • Bị chỉ trích bám víu tước vị, Meghan Markle đối mặt với nhiều luồng ý kiến trái chiều

    Bị chỉ trích bám víu tước vị, Meghan Markle đối mặt với nhiều luồng ý kiến trái chiều

    Meghan Markle bị chỉ trích vì sử dụng tước vị hoàng gia, gây tranh cãi về mục đích cá nhân. Các chuyên gia cho rằng cô vẫn muốn duy trì vị thế, trong khi một số người nhận xét hành động này có phần ‘lố bịch’. Quyết định của cặp đôi Sussex tiếp tục thu hút sự chú ý của công chúng.

  • Tử vi ngày 25/11/2025: Christina Applegate, hãy để tầm nhìn dẫn lối

    Tử vi ngày 25/11/2025: Christina Applegate, hãy để tầm nhìn dẫn lối

    Tử vi ngày 25/11/2025 đưa ra những lời khuyên và dự đoán cho 12 cung hoàng đạo, khuyến khích mọi người biến giấc mơ thành hiện thực và đầu tư vào bản thân. Hãy để sự phấn khích dẫn đường và tin vào trực giác của bạn để đạt được thành công.

  • ĐH Minnesota cảnh báo ‘đại dịch trắng’, kêu gọi phụ huynh ‘tái giáo dục’

    ĐH Minnesota cảnh báo ‘đại dịch trắng’, kêu gọi phụ huynh ‘tái giáo dục’

    Đại học Minnesota cảnh báo về “đại dịch trắng” trên trang web của phòng thí nghiệm văn hóa và gia đình. Trang này cung cấp các tài liệu để “ngăn chặn và đảo ngược” vấn đề, cho rằng người da trắng có vai trò quan trọng do quyền lực của họ trong xã hội. Dự án được tài trợ bởi Viện Sức khỏe Tâm thần Quốc gia.


Tin NỔI BẬT


Tin Chính trị


Tin Hoa Kỳ


Tin Di trú